La pérdida de una o varias piezas dentales no es solo un problema estético que afecta a nuestra seguridad al sonreír; es, ante todo, un problema de salud funcional que puede derivar en desplazamientos dentales, pérdida de hueso maxilar y dificultades en la masticación y el habla. Si estás buscando una solución permanente y de alta calidad, los implantes dentales en Móstoles se han consolidado como la opción más eficaz y duradera. Según la FDI World Dental Federation, la salud bucodental es una parte integral del bienestar general, y la reposición de dientes perdidos es fundamental para mantener el equilibrio del sistema masticatorio.
En Grandental Móstoles, situados en la Av. de Portugal 34, somos especialistas en devolver la funcionalidad y la estética a tu boca mediante técnicas de vanguardia que minimizan las molestias y maximizan la tasa de éxito. En esta guía extensa, analizaremos todo lo que necesitas saber sobre los implantes, desde el proceso biológico hasta los costes y cuidados necesarios.
¿Qué son los implantes dentales y por qué son la mejor solución?
Un implante dental es, esencialmente, una raíz artificial diseñada para integrarse con el hueso de la mandíbula o el maxilar. Se trata de un pequeño tornillo fabricado con materiales biocompatibles (generalmente titanio) que actúa como soporte para una corona o prótesis que imita a la perfección el aspecto de un diente natural.
A diferencia de las dentaduras postizas tradicionales o los puentes, los implantes no dependen de los dientes adyacentes para sostenerse. Esto permite preservar la estructura dental sana de la boca. Además, el implante estimula el hueso, evitando la reabsorción ósea que ocurre naturalmente tras la pérdida de un diente. En nuestra clínica dental en Móstoles, priorizamos esta solución por su capacidad para ofrecer una sensación de firmeza idéntica a la de los dientes originales.

Ventajas de elegir implantes dentales en Móstoles con Grandental
Optar por realizarse este tratamiento en una clínica de cercanía y confianza en el sur de Madrid ofrece beneficios tangibles que van más allá de la simple intervención.
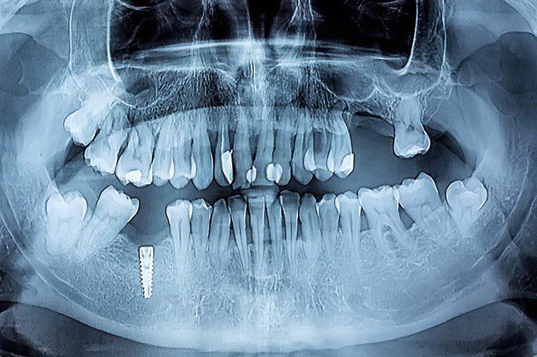
- Tecnología de diagnóstico 3D: En Grandental Móstoles, utilizamos estudios radiológicos avanzados para planificar cada caso con precisión milimétrica, asegurando que el implante se coloque en la posición óptima de acuerdo con la densidad ósea del paciente.
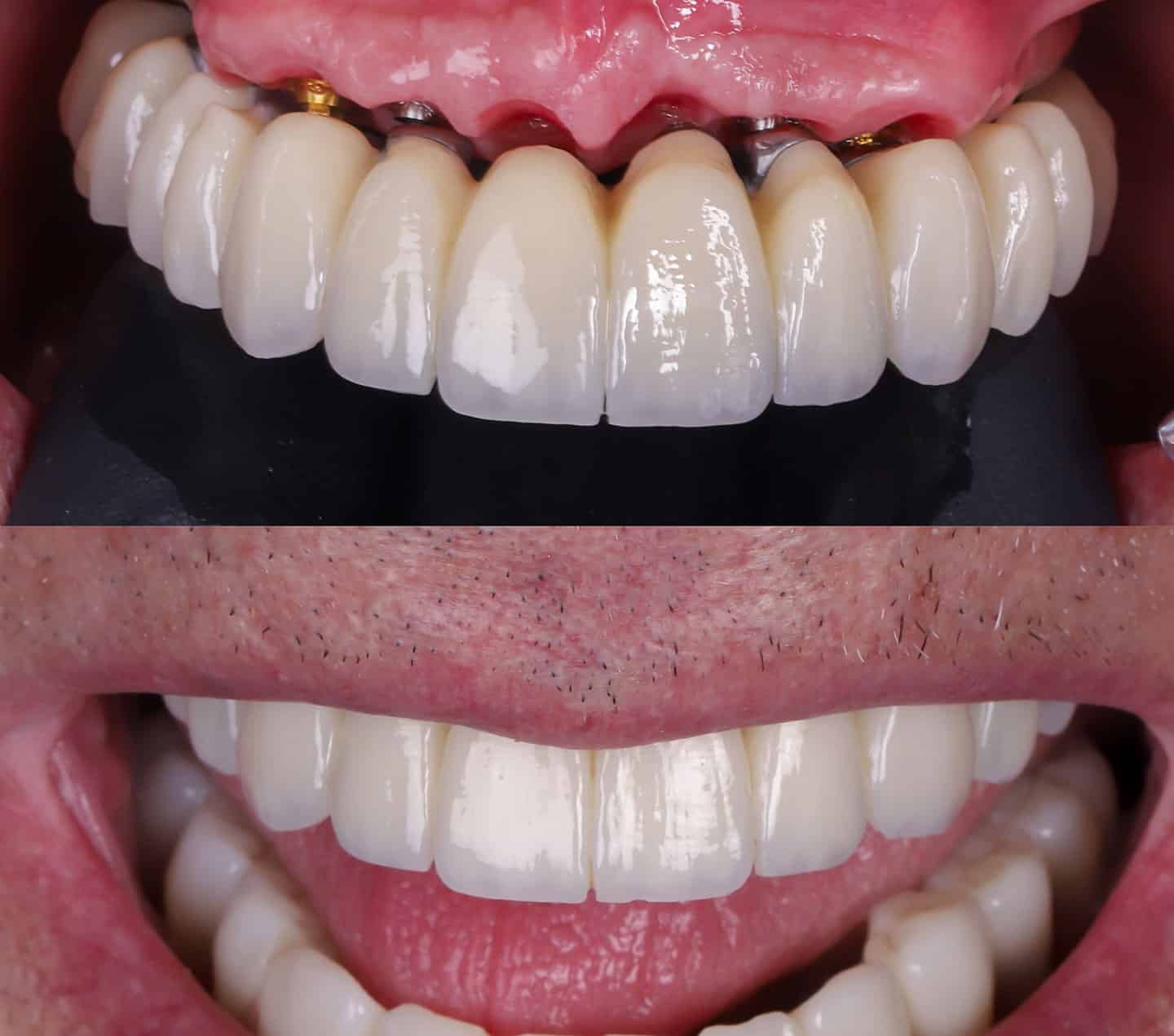
- Enfoque en la estética dental: No solo nos preocupa la funcionalidad. Como expertos en estética dental, diseñamos coronas que se mimetizan con el color, forma y brillo de tus dientes naturales.
- Trato cercano y personalizado: Entendemos que enfrentarse a una cirugía dental puede generar ansiedad. Nuestro equipo mantiene un tono profesional pero cercano, orientado a generar la confianza necesaria para que tu experiencia sea positiva.
- Ubicación estratégica: Al estar ubicados en la Av. de Portugal 34, facilitamos el seguimiento postoperatorio sin necesidad de grandes desplazamientos para los vecinos de Móstoles y localidades cercanas.
El proceso de osteointegración: la clave del éxito
El éxito de los implantes dentales en Móstoles reside en un fenómeno biológico llamado osteointegración. Este es el proceso por el cual las células óseas se adhieren directamente a la superficie del implante, creando una unión mecánica extremadamente fuerte.
Este proceso suele tardar entre 3 y 6 meses, dependiendo de la calidad del hueso del paciente y de la ubicación del implante. Durante este tiempo, el cuerpo «suelda» el titanio a la mandíbula. Una vez finalizada esta fase, el implante es capaz de soportar las fuerzas de la masticación de la misma manera que una raíz natural. En Grandental, supervisamos cada etapa de esta evolución para garantizar que, cuando coloquemos la corona definitiva, la base sea totalmente estable.
El proceso paso a paso: de la consulta a la sonrisa final
Realizarse un tratamiento de implantes dentales en Móstoles en nuestra clínica sigue un protocolo estricto diseñado para tu seguridad:
1. Estudio previo y diagnóstico
Realizamos una exploración exhaustiva y un estudio radiológico para evaluar la cantidad de hueso disponible y la salud general de las encías. Esta primera visita en Grandental es gratuita, permitiéndote resolver todas tus dudas sin compromiso.
2. Colocación del implante (Fase quirúrgica)
Mediante una intervención ambulatoria con anestesia local, se coloca el tornillo de titanio en el hueso. Es un proceso rápido y mucho menos molesto de lo que la mayoría de los pacientes imaginan.
3. Fase de cicatrización y osteointegración
Esperamos el tiempo necesario para que el implante se integre con el hueso. En algunos casos específicos de implantes de carga inmediata, se puede colocar una corona provisional el mismo día, aunque esto depende de la estabilidad primaria conseguida.
4. Colocación de la corona definitiva
Una vez integrado, tomamos moldes precisos para fabricar la corona de cerámica o circonio. Esta pieza es la que dará el aspecto final de diente natural a tu sonrisa.
5. Mantenimiento y seguimiento
Programamos revisiones periódicas para asegurar que todo evoluciona correctamente y para realizar limpiezas profesionales que protejan la salud de los tejidos que rodean al implante.
¿Duele ponerse un implante dental? Mitos y realidades
Una de las preguntas más frecuentes de nuestros pacientes en Móstoles es sobre el dolor. La realidad es que la cirugía de implantes es una de las más predecibles y cómodas en odontología moderna.
Sedación consciente: Para pacientes con fobia al dentista o casos complejos, ofrecemos opciones de sedación para que el tiempo en la clínica transcurra de forma totalmente relajada.
Anestesia eficaz: La intervención se realiza bajo anestesia local potente, por lo que el paciente no siente nada durante el proceso.
Postoperatorio controlado: Las molestias tras la cirugía suelen ser leves y se gestionan perfectamente con analgésicos comunes recetados por nuestro equipo. La mayoría de los pacientes de Grandental Móstoles hacen vida normal al día siguiente.
Materiales de alta calidad: titanio vs circonio
En Grandental, solo trabajamos con materiales de primera calidad para asegurar la durabilidad del tratamiento.
- Titanio: Es el material estándar debido a su altísima biocompatibilidad y resistencia. Es extremadamente raro que el cuerpo lo rechace.
- Circonio: Se utiliza principalmente en las coronas o en pacientes que prefieren soluciones libres de metal. Ofrece una estética inmejorable gracias a su color blanco translúcido que imita la dentina natural.
Elegir los mejores materiales es parte de nuestra diferenciación como clínica orientada a la excelencia en el sur de Madrid.

Opinión de un paciente satisfecho
«Llevaba años usando una prótesis de ‘quita y pon’ que se movía al hablar y me daba mucha inseguridad. Fui a Grandental Móstoles y me explicaron el tratamiento de implantes de forma muy clara. La cirugía fue mucho más sencilla de lo que pensaba y ahora puedo volver a comer de todo sin miedo. El equipo de la Av. de Portugal es increíblemente profesional y cercano.» — Ricardo S., paciente de Móstoles.
Preguntas frecuentes sobre implantes dentales (FAQs)
¿Cuánto tiempo duran los implantes dentales?
Con una higiene adecuada y revisiones periódicas en nuestra clínica, los implantes están diseñados para durar toda la vida. La clave es tratar el implante con el mismo cuidado que un diente natural.
¿Existe el rechazo del implante?
No es un rechazo inmunológico como ocurre con los órganos, ya que el titanio es inerte. Lo que puede ocurrir es una falta de integración (falla menos del 2% de los casos) debido a infecciones o hábitos como el tabaquismo. En Grandental Móstoles evaluamos todos estos riesgos antes de empezar.
¿Soy candidato a implantes si tengo poco hueso?
Sí, hoy en día existen técnicas de regeneración ósea o elevación de seno maxilar que permiten colocar implantes incluso en casos de pérdida ósea severa. Realizamos un estudio radiológico previo para determinar la viabilidad.
¿Puedo fumar si llevo implantes?
El tabaco dificulta la cicatrización y aumenta el riesgo de infecciones (periimplantitis). Siempre recomendamos reducir o eliminar el consumo de tabaco para garantizar el éxito del tratamiento.
¿Cuánto tiempo estaré sin diente durante el proceso?
Depende del caso. Podemos colocar prótesis provisionales para que el paciente nunca se vea sin dientes en zonas estéticas mientras se produce la osteointegración.
¿Qué es la periimplantitis?
Es una inflamación similar a la periodontitis pero que afecta al tejido que rodea al implante. Se previene con una higiene excelente y limpiezas dentales profesionales en la clínica.
¿Los implantes se sienten como dientes naturales?
Sí. Al estar anclados directamente al hueso, la sensación de masticación es prácticamente idéntica a la de tus piezas originales, a diferencia de las prótesis removibles.gratuita.
Recupera tu calidad de vida en Grandental
Los implantes dentales en Móstoles son la inversión más inteligente para quienes buscan una solución definitiva a la pérdida dental. En Grandental, combinamos la experiencia clínica con la tecnología más avanzada y planes de financiación que se adaptan a ti.
No dejes que la falta de una pieza dental afecte a tu salud o a tu autoestima. Ven a visitarnos a nuestra clínica de la Av. de Portugal y descubre cómo podemos ayudarte a volver a sonreír con total libertad.
Reserva tu primera visita gratuita aquí
NUESTRA CLÍNICA DENTAL EN FUENLABRADA
📍 C/ de Leganés, 42. Fuenlabrada, Madrid
📞 916 098 639
📱 663 377 497 (WhatsApp)
NUESTRA CLÍNICA DENTAL EN MÓSTOLES
📍 Av. de Portugal, 34, Móstoles (Madrid)
📞 910 34 52 01
📱 645 50 23 36 (WhatsApp)
Reserva tu primera visita sin coste y descubre cómo podemos transformar tu sonrisa de forma cómoda y prácticamente invisible
Comentarios recientes